BLOG POLIKLINIKE ARENA DENTAL
Kada su zubne krunice idealno rješenje za novi osmijeh?

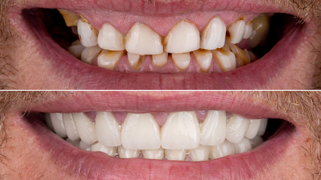
Ako već duže vrijeme priželjkujete nove zube koji izgledaju estetski savršeno, ali prirodno, svakako preporučujemo zubne krunice.

Poliklinika Arena Dental
LinkedInPacijenti često vjeruju kako se za postupkom ugradnje zubne krunice poseže tek u odmakloj životnoj dobi, ali ovaj postupak se izvodi i u brojnim drugim situacijama.
Ponekad, zubi su napuknuti ili oslabljeni zbog dugotrajnog karijesa ili škripanja zubiju, neprivlačne su boje zbog genetskih uzroka ili loših navika poput ispijanja većih količina kave, čaja ili jednostavno zbog loše oralne higijene.
Sve su ovo razlozi zbog kojih bi trebali razmisliti o ugradnji zubnih krunica. Ovim trajnim protetskim nadomjestkom vratit ćemo prirodan izgled i funkcionalnost vašem zubu na siguran način, uz pomoć vrhunske tehnologije i iskusnih stručnjaka.
Što su zubne krunice i čemu služe?
Zubna krunica je nadomjestak koji se izrađuje na jednom zubu i najčešće pokriva cijelu njegovu krunu. Uobičajeno se izrađuju na zubima koji su teško oštećeni karijesom ili traumom, zbog čega je potrebno nadomjestiti velike defekte zubne krune. Također, zubna krunica se može izraditi i zbog estetskih zahtjeva. U tom se slučaju izrađuje na prednjim zubima u svrhu poboljšanja oblika ili boje zuba.
Osim što funkcionira kao nadomjestak, zubna krunica može dodatno zaštiti zube nakon endodontskog liječenja (terapijskog postupka unutar korijenskih kanala u svrhu očuvanja zuba) te može održati zube koji imaju velike ispune, a čija je prirodna kruna slaba. Za ovim se postupkom može posegnuti i kada su zubi previše istrošeni ili u situaciji u kojoj dolazi do frakture krune zuba.

Koja se vrsta materijala koristi za izradu zubnih krunica?
Najčešće izrađujemo keramičke krunice koje predstavljaju vrhunsko dentalno rješenje kada su u pitanju i estetika i funkcionalnost. Osim što u potpunosti imitiraju izgled i svojstva prirodnog zuba, biokompatibilne su, iznimno čvrste i izdržljive te ugodne za pacijenta.
U našem modernom zubotehničkom laboratoriju, tim zubotehničara Stomatološke poliklinike Arena Dental izrađuje zubne krunice od vrhunskih, visokokvalitetnih materijala koji u potpunosti zadovoljavaju sve estetske i funkcionalne potrebe i zahtjeve.
Glavne vrste keramičkih krunica koje izrađujemo su:
● Potpuna keramička krunica
● Potpuna keramička krunica – cirkon (tzv. cirkon-keramika)
● Metal-keramička krunica
Nakon specijalističkog pregleda, razgovora s pacijentom te detaljne analize zuba i pacijentovog specifičnog dentalnog stanja, naš tim stomatologa preporučit će rješenje i materijal koji su idealni za pacijenta. Odabir materijala ovisit će o zubu na kojeg stavljamo krunicu i njegovom položaju u usnoj šupljini, o stomatološkim indikacijama te vašim osobnim, estetskim i drugim preferencijama i mogućnostima.
Koliko je koraka potrebno za izradu zubne krunice?
Za izradu zubnih krunica potrebna su otprilike četiri koraka.
1. korak: brušenje zuba i uzimanje otisaka
Za ugradnju zubne krunice ili zubne navlake potrebno je izbrusiti postojeći zub kako bi se nova kruna zuba mogla fiksirati na njega, odnosno kako bi se mogao nadomjestiti izgubljeni ili odlomljeni dio. Zubna krunica je i sastavni dio procesa ugradnje zubnih implantata, tijekom kojeg se fiksira na prethodno ugrađeni implantat.
Nakon brušenja, uzima se otisak zuba kako bi se izradila zubna krunica. Za vrijeme izrade krunice, pacijent će dobiti privremeni zub kako bi se spriječile bilo kakve smetnje te kako bi se zaštitio izbrušeni zub. Brušenje i uzimanje otiska obavljaju se u jednom danu, odnosno jednom terminu.
2. korak: proba konstrukcije
Kratak posjet tijekom kojeg isprobavamo bazu budućeg protetskog nadomjestka.
3. korak: proba zubne krunice
Nakon što naši zubni tehničari izrade zubnu krunicu, pacijent se poziva na probu krunice te se, po potrebi, naprave dodatne prilagodbe kako bi se ostvarila maksimalna funkcionalnost i estetika. Izrada zubne krunice ili zubnog mosta traje između 24 – 72 sata, ovisno o kompleksnosti, materijalu i broju krunica koje izrađujemo za vas.
4. korak: trajno cementiranje krunica
Nakon probe, dodatnih prilagodbi te obavljenih stomatoloških obrada i liječenja, vrijeme je da krunicu trajno fiksiramo na pacijentov zub. Ovaj proces zove se i “cementiranje zubne krunice” što je ujedno i posljednji korak izrade i ugradnje zubne krunice. Pacijent napokon može uživati u svom novom, trajnom i funkcionalnom zubu i svom prekrasnom novom osmijehu!

Imaju li zubne krunice vijek trajanja?
Vijek trajanja zubnih krunica individualan je i razlikuje se od pacijenta do pacijenta te ovisi o nizu čimbenika kao što su kvaliteta materijala i pravilno pripremljeni zagriz, iskustvo i spretnost stomatologa, kao i redoviti kontrolni pregledi. Pravilno i redovito održavanje oralne higijene utječe na dugotrajniji vijek zubnih krunica kao i na opće zdravlje usne šupljine.
Može li se na zubnoj krunici razviti karijes?
Na zubnoj krunici ne može se razviti karijes, međutim bez ispravne higijene on se može javiti ispod zubne krunice.
Jako je važno da se vaši zubi redovito pregledavaju pri bilo kojem simptomu krvarenja desni ili senzibilnosti zuba. S redovitim pregledima kod doktora dentalne medicine ili specijalista te redovitim čišćenjem kamenca prevenirate mogućnost nastanka karijesa ispod krune i upale zubnog mesa.Ako ste kandidat za zubne krunice i zanimate se za optimalno rješenje, najbolje za Vas, pošaljite nam upit ili dogovorite pregled pozivom na 01 6542 655, pošaljite WhatsApp poruku na 091 224 4156 ili nam pišite na mail adresu info@arenadental.hr.
Dogovorite besplatan specijalistički pregled
Rezervirajte termin koji uključuje besplatan specijalistički pregled dentalne situacije, konzultacije sa stomatologom, izradu plana terapije te cjenovnu ponudu usluge u skladu s vašim željama i mogućnostima. Slobodno nas pitajte sve što vas zanima - rado ćemo odgovoriti!
Posljednje objave

