Galerija prije/poslije
Probleme sa zubima pretvaramo u predivne osmijehe

Analizirajući potrebe te osluškujući želje i financijske mogućnosti svakog pacijenta, svakodnevno kreiramo nove, predivne i zdrave osmijehe. Zadovoljno i sretno lice naših pacijenata naša je najveća preporuka.
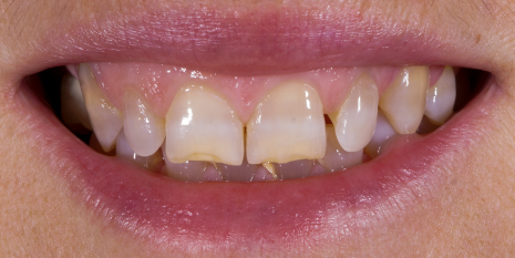
Keramičke ljuskice
Vrijeme izrade: 4-5 dana
Više o keramičkim ljuskicamaPacijentica je u našu polikliniku došla s ciljem poboljšanja estetike svojih zubi, želeći zadržati njihovu prirodnu strukturu. Nakon dijagnostike i procjene njezinog zagriza, odlučili smo se za keramičke ljuskice, koje su minimalno invazivno rješenje za postizanje ujednačenog, blistavog osmijeha. Ovim postupkom poboljšana je boja, oblik i proporcija zubi, čime je pacijentica ostvarila željeni izgled s dugotrajnim rezultatima.
![]()
![]()
Cirkonska krunica
Vrijeme izrade: 4-5 dana
Više o zubnim krunicamaPacijent se odlučio na estetsku i funkcionalnu korekciju svog osmijeha, a nakon detaljne dijagnostike, preporučene su mu cirkonske krunice. Ovim rješenjem poboljšana je boja, oblik i proporcija zubi, uz osiguranu dugotrajnost i čvrstoću materijala. S novim osmijehom, pacijent sada ima samopouzdanje i sigurnost u svakodnevnom životu.
![]()
![]()
Metal – keramičke krunice
Vrijeme izrade: 4-5 dana
Više o metal-keramičkim krunicamaOvome su pacijentu nedostajala 4 zuba, a ostali su mu zubi bili u vrlo lošem stanju. Nakon specijalističkog pregleda, gdje smo odradili detaljnu dijagnostiku i predstavili mu plan terapije, pacijent se odlučio zube nadomjestiti zubnim implantatima, a estetiku i funkcionalnost ostalih zubi popraviti metal-keramičkim krunicama.
![Slučaj 1: Prije ugradnje metal keramičkih krunica]()
![Slučaj 1: Nakon ugradnje metal keramičkih krunica]()
ALL-ON-4 metoda
Vrijeme izrade: 5-6 dana
Više o ALL-ON-4 metodiPotpuno bezuba čeljust ovog pacijenta nije ga spriječila da zauvijek ostane bez predivnog novog osmijeha. Čak štoviše, dobio je osmijeh koji uz pravilnu oralnu higijenu i redovite stomatološke preglede trajati može doživotno. Nakon detaljne analize dentalne situacije i procjene kvalitete kosti ovog pacijenta, zajedno smo se odlučili za ugradnju ALL-ON-4 fiksnog rješenja.
![Slučaj 1: Prije ALL-ON-4 metode]()
![Slučaj 2: Novi osmijeh nakon ugradnje]()
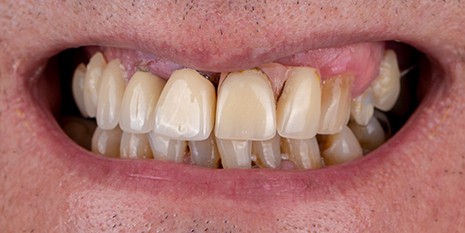
Potpuno cirkonska krunica
Vrijeme izrade: 4-5 dana
Više o zubnim krunicamaPacijentica je u našu polikliniku došla nezadovoljna izgledom i veličinom svojih zubi i s čvrstom odlukom kako želi novi osmijeh. Već na prvi pogled je moguće primijetiti da se ovdje radi o bruksizmu, odnosno štetnoj navici stiskanja i/ili škripanja zubima od čega pati velik broj ljudi. Pacijentica je izrazila želju za zubnim ljuskicama no radi zagriza joj je objašnjeno kako nije kandidat za ljuskice te da su bolja opcija cirkonske krunice.
Ovim rješenjem pacijentici je vraćena estetika njenih generalno čvrstih i zdravih zubi te sada ponovo može pokazivati svoj osmijeh bez skrivanja.![]()
![]()
Dogovorite besplatan specijalistički pregled
Rezervirajte termin koji uključuje besplatan specijalistički pregled dentalne situacije, konzultacije sa stomatologom, izradu plana terapije te cjenovnu ponudu usluge u skladu s vašim željama i mogućnostima. Slobodno nas pitajte sve što vas zanima - rado ćemo odgovoriti!









